We hope you love our recommendations! While every product is independently chosen by our editors, BuzzFeed and our publishing partners may collect a share of sales or other compensation from the links on this page. You can read more about how our affiliate partnerships work in our Editorial Standards & Ethics Guide.

Stop trying to do it all and hire some help in the form of callus gel and nail strengthener.

Please note that these aren't medical recommendations. Be sure to check with your doctor before starting any kind of treatment.

Promising review: "Allergies were driving me wild, so I decided to try this. It stings a little when your nose is as dry and cracked as mine was, but it helped immensely. Bought two, so I can stash one in my office for emergencies!" —afraydknot

Get it from Amazon for $3.62 (also available in two-packs). 

Read more about sulfite allergies and wine at Cleveland Clinic. 

Promising review: "Like others, I have had morning headaches after even just one glass of wine. I saw this on Amazon, and all of the reviews were favorable and had lots of detail on how well this product worked. I decided to give it a try, and YES! It does work!!! I personally did not detect a change in the taste profile of the wine, and neither could my sister, who also tried it one evening. I use three drops for both red and white. For the price, I would say give it a try because I am so happy that I can now enjoy a glass or two and not worry about the onslaught of an allergic reaction!" —Vellichor

Get it from Amazon for $14.99 (also available as beer drops).

Promising review: "My nails were in bad shape before I started using this product. I had one nail that would constantly split on the side, but not anymore. I saw the difference right away after using this product. The smell is great; it is a good moisturizer for your cuticles and contains wonderful ingredients. I definitely recommend it, and I will be purchasing another really soon." —Tasha Stewart

Get it from Amazon for $9.97+ (available in four scents, including unscented).

Promising review: So I have keratosis pilaris or goose-like bumps on my bum and have always been super self-conscious about it. I’ve used this product five to eight times, and they are seriously like GONE. It’s soooo smooth now, and I’m super happy. It does say to use it once a week, but I’ve just been using it every time I shower (which is almost every day, lol). I only use a dime-sized amount, and it’s able to cover my bum and some of my legs. I would definitely recommend this to anyone who also has pesky bumps on their body. Also, this product has no scent, which is a plus for anyone who has sensitive skin!!" —Ang M

Get it from Amazon for $12+ (available in five sizes). 

For more info on how to use acupressure for nausea management, check out this guide from the Memorial Sloan Kettering Cancer Center. 

Promising review: "I have always suffered from motion sickness. My whole life, I have hated long car rides, even short car rides. As soon as I get in the car and buckle in, I already feel the nausea. I bought these for a 16-hour road trip, and they worked 100%. I felt perfectly comfortable the whole way through. I could even watch movies and text on my phone and feel alright. My two daughters suffer from the same thing (ages 1 and 3) to the point where they can't keep any food down. The kid's bands worked for them 100% of the time, too. 10/10 recommend. I'll be buying more for sure." —Veronica 

Get a pair from Amazon for $8.53+ (available in six colors).

Just presoak your feet, apply the gel, let sit for 5–10 minutes, and rinse! It's recommended you go back in afterward with a foot file just to make sure no residue or dead skin is left behind.

Promising review: "WORKS GREAT!!! It’s just like going to a nail salon and getting a pedicure. Make sure you follow the directions on the package and WEAR GLOVES!! I used a rasp (i.e., cheese grater) and the dead skin crumbled off. I would totally buy this product again." —Daisy’s Mom

Get it from Amazon for $7.99+ (available in three scents).

Promising review: "THIS SAVED ME. The only downside is you'll have to reapply often. BUT it is the most amazing thing and will help your chafing feel better. Go ahead and add to cart, queen." —K. Reeves

Promising review: "I saw this product on one of Amazon’s must-have TikTok videos, and I knew I had to get it. It was so worth it — even though the price may seem higher compared to other sellers, this is for sure a good investment piece. The quality is top-notch, the strap that goes around your head is comfortable, and most importantly, the duration of each mode is long enough that it doesn’t interrupt your rest. I work a 12-hour night shift as a nurse, and this technology has helped me get through the night easily. 👍🏽👍🏽👍🏽" —Amazon Customer

Get it from Amazon for $49.99+ (available in 15 colors). 

Promising review: "Worked great. The bandages stayed on through showering and lasted about 24 hours. Had a wart that I could not get rid of, tried freezing it several times, and this did the trick in about a week!" —a

Get a pack of 14 from Amazon for $5.89+ (available in two styles).

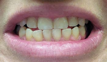
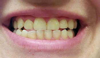
Promising review: "I bought this on a whim when I saw someone review it on TikTok. After using it several times over the course of a week, I immediately noticed the difference in the color of my teeth. I'm a smoker and a heavy coffee drinker. I'm finding that this product will be a lifesaver in terms of what my smile looks like. I would definitely recommend!!" —Mully

Read more about compression gloves and other strategies to help relieve hand pain at Mayo Clinic. 

Promising review: "As a professional tennis racquet stringer, I often work for 8 to 10 hours straight at the stringing machine. At 58 years old and having done this work for many years, I have developed arthritis in my hands. I’ve worn out many pairs of gloves similar to these. Most are cheaply made and tear apart at the seams in days. ComfyBrace gloves are the best quality I have found. They provide the relief I need, they’re comfortable, and they last longer than the other brands I’ve tried. With these gloves, I’m able to continue working a trade that I love. Thank you, ComfyBrace! Try these, and you will not regret it!" —M. McDonald

Get them from Amazon for $21.97 (available in sizes S–XL). 

Promising review: "I am so extremely oily. I have been dealing with my oily skin since I was in high school and am still dealing with my oily skin in my mid-thirties. The roller worked better than I could have expected and exceeded my expectations. This is life-changing for me!" —Wow

BuzzFeed writer Emma Lord has these in her self-care toolkit: 

"I'm a long-ish distance runner, and these were certainly an interesting experience for my feet! You slide them on and, after a few minutes, feel a tingling, mildly burning (in a good way) sensation. It doesn't quite numb your feet, but it relaxes them. I kept them on for 30 minutes and then toweled my feet off, and the tingling sensation slowly faded over the next 30 minutes. After that, my feet felt very refreshed and relaxed at a time of day when they're usually aching from all the miles I put in. The whole thing was a mess-free, easy process, and I will definitely keep them on hand for longer run days!"

Promising review: "Very soothing. My husband and l used these on our European vacation, and they definitely felt good on our feet!" —KS2018

Get a set of three pairs from Amazon for $11.97. 

If you suspect you have tonsil stones (also called tonsilloliths), talk to your dentist or doctor so they can perform a physical exam or imaging scan and deliver a diagnosis.

Promising review: "This little thing got a tonsil stone out that's been stuck for over a week in LESS THAN TEN MINUTES. I've been in so much pain and discomfort, my tonsils were bleeding and sore, but this is so simple! Just remember to take the caps off the tools!" —Meg 

Get it from Amazon for $9.93+ (available in two colors and in a multipack).

Promising review: "Blown away! I had reservations about the accuracy of what I had read about this product, but I decided to give it a shot, given its reasonable price. So glad I did! It is key to make sure you’ve been in the shower long enough; otherwise, it doesn’t work well, if at all. However, if you’ve been in for a while and your skin is thoroughly wet, the results are mind-blowing! It leaves your skin wildly, noticeably soft after the shower! It’s time-consuming, but the results are 1,000% worth it!!! BUY!!!!!" —Nicole

Get a two-pack from Amazon for $11.99 (available in five colors).

Promising review: "I recently was diagnosed with a few things that require me to take daily medications, at different times during the day. I work 24-hour shifts and travel a lot, and this has made it easy to take my medications with me instead of all the bottles. Fits perfectly in my purse! I love how secure each compartment is; it efficiently stores the medications. Some reviews said it was hard to open each compartment, but I haven’t had much trouble." —Sarah 

Get a three-pack from Amazon for $5.99+ (available in five color combos). 

Promising review: "Took me a little while to figure out the right angle to use this effectively but once I did it worked like a charm. I’ve used it for shaping eyebrows and managing the little bit of blonde peach fuzz I have on my upper lip. I haven’t tried it anywhere else but no bad reactions or pain, and relatively easy to maneuver with a bit of practice." —Kelly G.

Read more about tea tree oil and acne at Mayo Clinic. Apply this gentle treatment 3–4 times a day or 4–6 times if the situation is more serious. 

Promising review: "I’ve used this product for about two months now. I try to remember to apply at least twice a day. Not only is the skin clearer, but the overall texture is much smoother and softer. I highly recommend giving this lotion a try." —Amazon Customer

Read more about aromatherapy and stress and tension at Johns Hopkins.

Promising review: "I was very skeptical about this product, but gave it a try because of the low cost and excellent ratings. I know how aromatherapy works, but didn't expect this level of efficacy! Full disclosure, I don't usually get migraines. I have frequent allergy headaches, always over my right temple. With this stick, I can quickly apply treatment between clients, and with ten minutes, I'll realize the headache is gone. Great stuff!" —JKF

Read BuzzFeed's Migrastil migraine stick review for more deets!

Read more about how temperature therapy can help — including how applying heat during the start of a migraine can help relax tense muscles, while cold compresses can have a numbing effect, which may dull pain — at Mayo Clinic. 

Promising review: "I have horrible allergies. I get frequent sinus pressure and headaches. I've tested this out without taking any pain medication, and it WORKS! I love it. Highly recommend." —Amazon Customer

Get it from Amazon for $29.95 (available in five styles and two-packs). 

Read more about ketoconazole shampoo at Cleveland Clinic.

Promising review: "This stuff is absolutely amazing. I was one step away from going to the dermatologist. I had severe dandruff that was so bad that I could shake my head, and it would come off. With just a few uses per week, I got rid of all my flakes. My scalp also stopped burning from dryness. My hair has never been healthier." —Moo Moo

For best results, you should apply the cream after washing your hands, after showering, and at bedtime.

Promising review: "I got cracks near my thumbnails that got so bad, I couldn't use my hands. Nothing helped. This Working Hands cleared them up in a couple of days...amazing! I had tried everything to heal those cracks, to no avail. I mean it; this works. I use it on my heels as well! ☺️" —Annmarie

Promising review: "I ordered this oil to help get rid of scars and stretch marks on my legs and WHAT THE HECK?! It worked within two weeks! I had stretch marks on my thighs, and they are now completely gone! I have a bunch of scars and dark spots on my legs, and they vanished! :) I put on the product just before I go to bed, and it works like magic! :) It also smells amazing, and it’s great for sensitive skin!" —Maria   

Get it from Amazon for $11.12+ (available in three sizes). 

Read more about how biotin shampoo could help with the fullness of hair at Cleveland Clinic. 

Promising review: "This product really works, just give it time. Have been using it for about a month (twice a week) and noticed little short hairs on the scalp this morning. Smells good when on the scalp, and you will notice a slight tingling. I leave it on for about three minutes, then wash off. Hair fall was caused by some medication I was taking. Very satisfied with this product." —Bobbibythelake

Get it from Amazon for $14.95 (available in four sizes and five scents).

Promising review: "I have a TMJ mouth guard that is about 12 years old, and nothing else I've tried had managed to clean it like this stuff. It didn't take everything off the first time, but it makes a HUGE difference. Very satisfied." —Sara E

Mouthwatchers is a small business established by Ronald Plotka, DDS, that specializes in antimicrobial toothbrushes designed to get deeper cleans even patients with "great" dental hygiene might miss with traditional brush and floss routines. 

Promising review: "This was another one of my TikTok purchases! I was skeptical, but my kids hate flossing their teeth, so I thought this might help in between making them floss. They work amazingly! My kids said they could see and feel a difference on the first use and I agree! They are definitely worth a try! I would suggest not pushing too hard; those tiny bristles really get in there, and if you push too hard, you might be sore like I was. It felt like after going to a dental cleaning." —AN

Read more about how compression socks may help with foot pain by helping reduce inflammation and improving circulation, according to Cleveland Clinic. 

And (like socks), you can toss them in the wash when they start to smell a little funky.

Promising review: "I ordered these for the pain I've had in my feet. So far, I am very impressed. They fit over my socks, and there is plenty of room in my shoes." —Patty Jazvac

Get a pair from Amazon for $21.95+ (available in two sizes, three colors, and with or without padding).

Read more about compression socks and swelling at Cleveland Clinic. 

Promising review: "These compression socks far exceeded my expectations. I am 65 years old and work fulltime standing on my feet. I was starting to have problems with swelling in my ankles and lower calfs, and my feet were hurting. My legs felt tired and heavy all the time. I am wearing the socks every day to work and they are amazing! All swelling is gone, my legs feel totally energized, and my feet feel so much better. I just ordered two more pairs and have told all my coworkers about them." —Wigley 

Check out my colleague's Physix Gear compression socks review for more deets!

Get it from Amazon for $18.72+ (available in unisex sizes S–XXL and in 13 colors).

Allergy Asthma Cleaning Store is a family-owned business making safe cleaning goods for the whole family. If you suffer from pet allergies, it's recommended you spray this daily. For dust mite allergies, try three times a week.

Promising review: "I have horrible allergies. Dust, certain dogs, all cats, pollen, etc. We have a vacation house that is used by many family members and their pets. Nothing has worked. I tried this and it’s amazing. No smell, no residue. I spray it on everything when I arrive and I’m not bothered by any dander at all. No more scratching my eyeballs raw or itchy throats. Just buy it already. Worth it!" —scoop

Read more about nasal sprays and allergies at Cleveland Clinic. 

Promising review: "I cannot live without this spray! I have had bad sinuses since I was a kid. My boss recommended Xlear to me, and I have been a believer ever since. It actually burns sometimes when you spray it in your nostrils, but that is due to the Xylitol. After a few minutes, your nose starts to run and then the nasal passages are clear. Don't just try it once and say it doesn't work...use it as directed...it DOES work. At 53 years old with sinus challenges all my life, I am living proof! I use it all through allergy season...safe, effective, and NATURAL!!!" —KayKay67

Bushbalm is an Ottawa-based small biz with a special focus on the pubic zone(s). Their result-driven collection of products targets such grievances as ingrown hair prevention, dark spot treatment, and razor burn relief.

Promising review: "This product actually works. The oil absorbs quickly (especially if you do it right out of the shower), smells amazing (I’ve used both the sweet escape and the pumpkin spice), and, most importantly, I have no ingrown hairs or razor bumps! I had to be patient and consistent when I first started, but now I can’t praise this product enough, I tell everyone I know!" —Jenny W.

Get it from Amazon or Bushbalm for $26 (available in four scents).

Some reviews have been edited for length and/or clarity.

BuzzFeed Shopping is service journalism first: our writers and editors spend all day shopping so you don’t have to, vetting products, fact-checking brand claims, and surfacing what actually helps in real life. We center readers over revenue, recommend products with authenticity (using real experiences, not ad-speak), and reflect our diverse audience, inclusive of a variety of price points, people, and needs. We cut through fake deals, favor useful info over glossy fluff, and recommend both budget and splurge options with context so you can decide what’s right for you — and still have a little fun along the way.

Danielle Healy is a freelancer and former BuzzFeed Shopping editor who loves finding new problem-solving products, zero-waste swaps, and home organization hacks. After work, you can find her playing D&D, gushing about her favorite games, crocheting, and eating her way through New York.